武汉晚报讯(通讯员王敏 张全录) 确诊结核病后没能规范用药,吃药好了就停、复发再吃,反反复复,给病菌留下生存空间。与结核“斗争”一年,14岁女孩小姜(化姓)不仅没能康复,反而产生耐药结核菌,支气管被结核病灶挤压成一条缝。
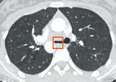
小姜确诊结核病已有一年。前不久,她被转入省内唯一的三甲呼吸疾病专科医院武汉市肺科医院治疗。检查显示,小姜的胸腔壁被病菌侵蚀、化脓,形成结核性脓胸;左主支气管周围的纵隔也被结核菌侵犯,形成脓包病灶,挤压左主气管。从CT检查片上看,左主支气管已被压得只剩一条缝。同时耐药检测也显示,小姜感染的是更难对付的耐药结核菌,常规抗结核药无法将其击退。
为什么小姜的病情如此棘手?接诊她的胸外科副主任刘小玉分析,小姜确诊一年以来,没能遵医嘱用药,而是吃吃停停,反复折腾,给病菌留下了生存空间,导致病情不仅没能改善,反而不断加重。
结核性脓胸,纵隔淋巴结核,还耐药。面对这三重难题,刘小玉及团队为小姜设计了高难度的单孔胸腔镜手术加药物治疗的个性化方案。术中,专家在女孩肋间切开两个3厘米左右的小孔,探入手术器械,在组织粘连、错位的胸腔内精心操作,避开神经、血管,小心翼翼地清除结核性脓胸病灶和纵隔淋巴结核病灶。手术精细,但创伤更少。术后,再给小姜用上抗耐药结核的药物。经过一周左右的术后恢复,小姜的病情明显好转,达到出院要求。出院后,坚持规范用药,即可痊愈。
医生提醒,结核病是一种慢性传染性呼吸系统疾病,一旦发病应该及时到专业医疗机构就诊,切记规范用药,否则很容易产生耐药性,增加患者病痛和治愈难度,同时产生更大的经济负担。

上一版





朗读
放大
缩小
全文复制
上一篇